Hjernesvulster omfatter en lang rekke svulsttyper med ulike biologiske egenskaper. Det går et hovedskille mellom godartede og ondartede svulster, men det finnes mange forskjellige svulster i hver av disse gruppene. Diagnosene stilles basert på grundige bilde-, patologiske og genetiske analyser. Godartede svulster vokser typisk sakte og er velavgrenset til omkringliggende hjerne. Ondartede svulster vokser typisk raskt og kan ha et infiltrerende vekstmønster. Les mer hos kreftlex.no (ekstern link). Avansert bildeteknologi med fremstilling av svulst samt viktige funksjonelle områder i hjernen er svært viktig i diagnostikk og behandling. Bildet til høyre viser vanlig MR av hjernen med en ondartet hjernesvulst (mørkt område) og funksjonell MR av nærliggende områder som styrer bevegelse (farger).
Om hjernekreft
Hjernekreft


Hjernen er mennesket
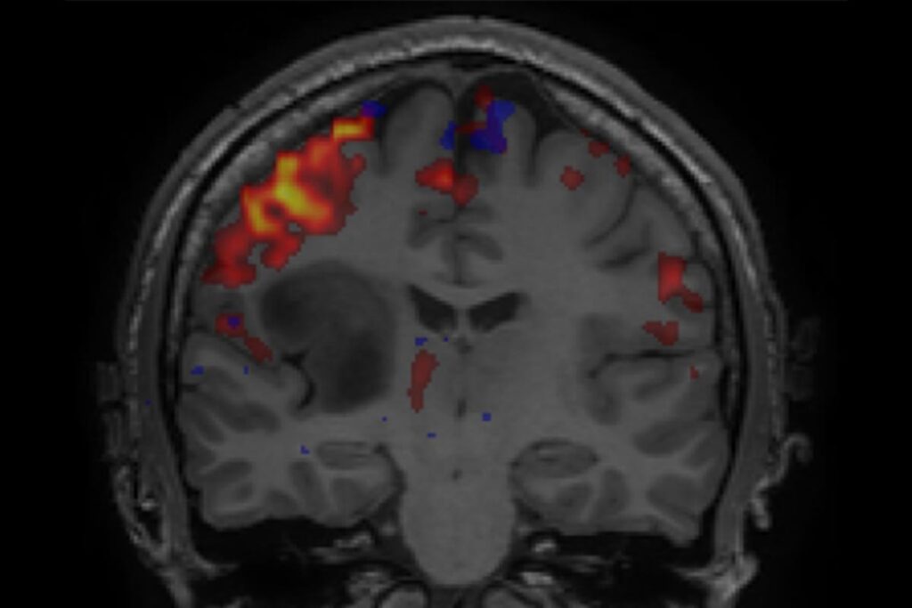
Hjernen styrer mange av kroppens funksjoner. Det finnes en rekke sentra i hjernen og disse er forbundet med nervebaner (nervefibre). Det går signaler ut til kroppen og det kommer signaler tilbake til hjernen. Hjernens funksjon kan påvirkes av både svulsten i seg selv og av behandlingen. Bildet viser en hjernesvulst (rødt) som ligger tett opp til motoriske baner (mørkeblått) og synsapparatet (gult).
Vi jobber for å finne bedre og mer persontilpasset behandling til alle pasienter med hjernesvulster
Godartede vs. ondartede svulster
Behandling av godartede svulster kan typisk innebære regelmessige kontroller (vente-og-se), ulike typer strålebehandling eller operasjon. Eksempler på slike svulster er meningeom (utgår fra hjernehinnene) og schwannom (utgår fra nerveskjeder). Behandlingsvalg styres av en rekke faktorer hvor svulstens størrelse, beliggenhet og vekstpotensiale – og pasientens symptomer – er viktige faktorer. Behandling av godartede svulster kan noen ganger være enkel og forbundet med liten risiko. Andre ganger kan svulsten ha et vekstmønster og en beliggenhet som gjør at man må kombinere ulike behandlingsstrategier. Behandling av ondartede svulster innebærer ofte en kombinasjon av kirurgi, strålebehandling og cellegift.
De vanligste ondartede svulstene som primært oppstår i hjernen kalles diffuse gliomer (det finnes også gliomer som er godartede). Diffuse gliomer dannes fra hjernens støtteceller. Gliomene graderes på grunnlag av cellenes utseende, vekstmønster og genforandringer, fra lavgradig til høygradig, etter en skala 1 til 4. Den vanligste av de mest ondartede (grad 4) svulstene betegnes som glioblastom. Som navnet tilsier har de diffuse gliomene en infiltrerende vekst i hjernen og kan ikke fjernes fullstendig ved kirugi. Annen tilgjengelig kreftbehandling har en viss effekt, men har sine begrensninger. Selv om de diffuse gliomene har generelle likhetstrekk, vet en i dag at de rent biologisk er forskjellige fra pasient til pasient. Vårt overordnede mål er å tilby pasienter med hjernesvulster bedre og persontilpasset behandling.
